![]() |
||
|
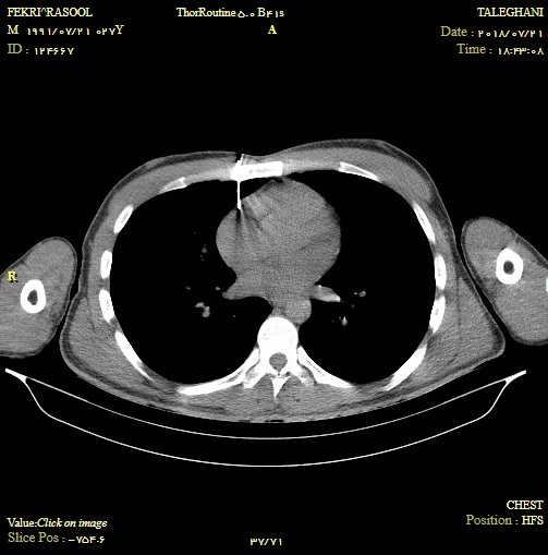
در لحظات غروب آفتاب شنبه 30 تیر ماه طلوع دوباره زندگی کارگر مشهدی به دست متخصصین بیمارستان طالقانی روشنی بخش شد. بدنبال حادثه برخورد میخ پرچ با قفسه سینه این کارگر قطعه ای از این میخ تا قلب نفوذ کرده و به لایه پریکارد رسیده و باعث تامپوناد قلبی و خونریزی دور قلب شده بود. وی بلافاصله پس از رسیدن به اورژانس بیمارستان طالقانی تحت معاینه و سپس سی تی اسکن قرار گرفت و محل جسم خارجی مشخص گردید. به دلیل خونریزی دور بافت قلب ، فعالیت آن دچار اختلال گردیده بود که بلافاصله با پریکاردیوسنتز تحت گاید سونو توسط متخصصین طب اورژانس و جراحی مقداری از خون تخلیه شد و امکان انتقال فوری بیمار فراهم گردید. عمل جراحی بیمار توسط دکتر جمعه زاده متخصص جراحی عمومی با موفقیت انجام شد و بیمار به بخش مراقبت های ویژه منتقل گردید. |
||
![]() |
||
![]() |




